Lite
Documentas y colaboras
/messe factura anualmente
1 miembro * 120 casos
Todas las funciones de colaboración
Biblioteca de documentación en la nube
Chat del equipo para colaboración basada en casos
Pasaportes de datos de pacientes con conexión segura
Recuperación de archivos - 14 días
Restaura cualquier caso o archivo que se haya eliminado en los últimos 14 días
Starter
Diseñas sonrisas
/messe factura anualmente
1 miembro * 120 casos
Funciones de Lite y:
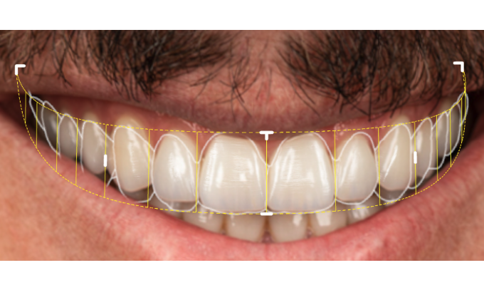
Diseño de sonrisa biométrica
Proceso de diseño asistido por IA que mejora la planificación de la sonrisa mediante puntos de referencia faciales
Simulación de vídeo
Genera 10 vídeos del antes y después fotorrealistas al mes, usando tu diseño y la referencia facial del paciente.
Herramientas interdisciplinares
Acumula y alinea datos en la revisión 3D
Recuperación de archivos - 14 días
Restaura cualquier caso o archivo que se haya eliminado en los últimos 14 días
Business
Tu trabajo es multidisciplinar
/miembro /messe factura anualmente
1+ miembros * Casos ilimitados
Funciones de Starter y:
Signature DesignNUEVO
Importa tu propio encerado digital, modelo escaneado o cualquier configuración personalizada y llévalos a la cara.
Blueprint: todavía no está disponible en tu territorio
Incorpora datos de escáner, CBCT y movimiento y amplía tu diseño de sonrisa a 3D.
Exporta diseños que están personalizados para la planificación digital y las herramientas de diseño
Simulación de vídeo
Genera 30 vídeos del antes y después fotorrealistas al mes, usando tu diseño y la referencia facial del paciente.
Potentes herramientas interdisciplinarias
Convierte DICOM en 3D con sección transversal dinámica
Revisa el movimiento y la oclusión dinámica
Espacio de trabajo del equipo
Un lugar para todos los casos del equipo
Establece el permiso de los miembros para acceder a los casos del equipo
Añade más miembros del equipo a medida que creces
Recuperación de archivos - 365 días
Restaura cualquier caso o archivo que haya sido eliminado en los últimos 365 días
Enterprise
Diriges un equipo grande
Customse factura anualmente
50+ miembros * Casos ilimitados
Las caracteristicas de Business y:
Asistencia y formación inicial especializadas
Apoya el servicio diseñado para organizaciones grandes. Asistencia personalizada con suma prioridad.
Gestión de varios lugares de trabajo
Varias clínicas dentro de una cuenta unificada. Cada una con sus propios equipo y pacientes, con un súper administrador que supervisa.
Usuarios de personal para colaboración
Cuentas de personal especializadas para una comunicación, colaboración e intercambio de casos de forma fluida entre todos los departamentos.
Acceso de socio
Ideal para centros de laboratorio o centros especializados: colabora de forma eficiente con socios externos dentro de tu flujo de trabajo.
Recuperación de archivos - 5 años
Restaura cualquier caso o archivo que se haya eliminado en los últimos 5 años











